9 April 2020
Treatment of Hallux Valgus (Bunions)


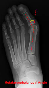
Hallux Valgus, commonly known as Bunions, is where the big toe excessively angles (>15 degrees) towards the rest of the toes. See the xray. This can lead to a bony lump on the side of the foot and osteoarthritic changes to the joint. You can sometimes get an overlaying bursa (sac of fluid) to the joint which can become very inflamed.
Hallux Valgus is more common in women especially over 40yrs old, due to looser ligaments and poor footwear. But due to its genetic predisposition, it can be seen in children.
It is caused by a defective mechanical effect in the forefoot and over pronation, which is often genetic. Poor Footwear will aggravate this. Once the Hallux leans into the second toe the tendons are unable to pull in a straight line during gait and the condition gets progressively worse.
Pain can arise from the degeneration in the joint and the sesamoid subluxation. Cartilage can degenerate and if there is a bursa this can also become painfully inflamed. However many are self limiting and in the right shoes can be pain free.
Having an enlarged and deviated toe means a wider forefoot which is difficult to accommodate comfortably in footwear. Callous/corn formation on the soles can form due to poor foot function and overloading of the plantar areas during gait. The lesser toes can become crowded in shoes giving raise to clawing, callous/corn formation and interdigital pressure. It can also lead to toenail and sulci problems. The joint itself and the bursa can become very inflamed and painful.
Surgical intervention will be corrective of the deformity as it will aim to realign the Hallux and 1st joint. However, it is often encouraged by Podiatric surgeons to attempt to conservatively manage the problem in the first instant.
is the key. Seek to find shoes with a broad and a deep toe box as possible, without seams and stitching which may aggravate the joint/bursa. Footwear with a good fastening so to prevent excessive movement or the feeling of instability which would otherwise encourage clawing of the toes.
Thick rubber soles shoes will offer the plantar cushioning and the shock absorbance needed during gait.
Foot exercises will help maintain the integrity of the foot muscles and ligaments.
.
Routine maintenance of callouses and corns are very important, as is the correct cutting and management of the toenails.
Orthotics to cushion and prevent pronation or instability of the foot is useful but do need good footwear to be able to accommodate this, in an already overcrowded toebox.
If the joint is acutely painful and inflamed, then anti-inflammatories, ice and rest initially. And strapping/padding to limit joint movement and protect the joint can be useful. Also a cortisone injection may be of use in a very inflamed joint and capsulitis.
The use of bunion night splints has no evidence of helping in adults but can be useful in children but needs years of nightly compliance. Further information about foot-care can be found here
Comments (0)